Poniedziałek, 24 listopada 2025 r. 
REKLAMA

Zmiana zachowania – to może być glejak

Data publikacji: 30 października 2018 r. 22:53
Ostatnia aktualizacja: 25 sierpnia 2019 r. 18:48
Zmiana zachowania – to może być glejak
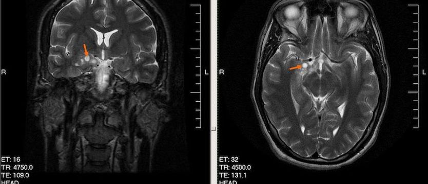
Wysokozróżnicowany glejak u 28-letniego mężczyzny Fot. Wikipedia  
Glejak, podobnie jak inne guzy mózgu, nie powoduje charakterystycznych objawów. Rozwijając się w danej lokalizacji, uszkadza komórki obszarów odpowiedzialnych za konkretne aktywności. Może to doprowadzić na przykład do niespodziewanych zmian zachowania.

– Zdarza się, że człowiek dotychczas kulturalny zacznie zachowywać się w sposób uznany przez nas za niestosowny. Może być ordynarny, może nie okazywać współczucia, nie reagować na sytuacje, które wcześniej na pewno by go poruszyły. Może też stać się ospały, zobojętniały albo pobudzony, wybuchowy i nadpobudliwy – mówi prof. Tomasz Trojanowski, konsultant krajowy w dziedzinie neurochirurgii, kierownik Katedry i Kliniki Neurochirurgii i Neurochirurgii Dziecięcej Uniwersytetu Medycznego w Lublinie. Profesor wyjaśnia, że takie zachowanie może się pojawić, kiedy guz jest w płacie czołowym, gdzie mieści się „nasza cywilizacja”, tzn. poczucie patriotyzmu, wstydu, miłości, przywiązania do innych ludzi, empatii, a także zgodnego z kanonami zachowania. Podobne symptomy mogą wywoływać jednak też i inne nowotwory mózgu, jak i krwiaki oraz ropnie. Dlatego objawy neurologiczne, które wywołuje glejak wiążą się z dwoma mechanizmami działania. Z jednej strony miejscowo, w zależności od tego w jakim miejscu mózgu się rozwija, zaburza czynność właśnie tej części mózgu.

REKLAMA

– Są to objawy charakterystyczne, ale dla miejsca, a nie dla glejaka. Gdyby w tym samym miejscu rozwijał się oponiak, objawy byłyby identyczne – tłumaczy prof. Trojanowski. – Jeśli guz rozwija się w okolicy odpowiedzialnej za ruch, choremu słabnie sprawność przeciwnej do danej półkuli połowy ciała. Jeżeli w okolicy, która jest związana z mową, pojawiają się zaburzenia mówienia albo rozumienia mowy. Rozwój guza w płatach potylicznych, gdzie znajduje się obszar percepcji wzrokowej, może przynieść zaburzenia widzenia. Guz rozwijający się w okolicy czołowej powoduje zmianę zachowania człowieka.

Druga grupa objawów glejaka wiąże się ze zwiększeniem ciśnienia wewnątrzczaszkowego. Mechanizm działa następująco: rosnący guz zwiększa zawartość wnętrza czaszki i tym samym powoduje wzrost ciśnienia wewnątrzczaszkowego. To z kolei objawiać się będzie bólami głowy, nudnościami i wymiotami, a w zaawansowanym stanie zaburzeniami przytomności.

– Są to zaawansowane objawy glejaka. Pierwsze sygnały dotyczą właśnie zmian, które powinny wzbudzić zaniepokojenie pacjenta lub jego otoczenia, a które wiążą się z niedowładem, z zaburzeniem czucia, widzenia, mowy czy ze zmianą zachowania. To są właśnie objawy, które powinny skłonić do pójścia do lekarza – uczula neurochirurg.

Dalsza diagnoza opiera się o badania obrazowe, czyli rezonans magnetyczny lub tomografię komputerową, na podstawie których rozpoznaje się guza mózgu. Są pewne cechy w obrazie diagnostycznym, które już na tym etapie pozwalają stwierdzić, że mamy do czynienia z glejakiem. Pewne rozpoznanie stawia się jednak dopiero na podstawie badania histopatologicznego, po usunięciu guza.

(pap) 

Na zdjęciu: Wysokozróżnicowany glejak u 28-letniego mężczyzny

Fot. Wikipedia 

REKLAMA
Tylko zalogowani użytkownicy mają możliwość komentowania
Zaloguj się Zarejestruj
REKLAMA
REKLAMA